台中牙齒矯正推薦牙醫 ∣ 許瑛祺醫師的部落格 ∣ 生活牙醫診所
台中牙齒矯正專科醫師+矯正碩士雙重認證,隱適美國際認證醫師,豐富成功案例經驗,專精各式齒顎矯正,為您設計完美無瑕的齒列!歡迎瀏覽更多矯正實際案例
網頁
選單
簡介
矯正實際案例
矯正系統介紹
矯正Q&A
諮詢留言
2015年1月12日 星期一
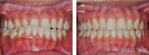
【台中牙齒矯正牙醫】正顎手術 下顎前突(戽斗) 實際案例
【案例】
正顎手術 下顎骨前突(戽斗)
【矯正醫師】
台中牙齒矯正專科醫師 許瑛祺 醫師
(觀看醫師簡介)
【時間】
2年
觀看更多【戽斗】矯正案例
較新的文章
較舊的文章
首頁
^