台中牙齒矯正推薦牙醫 ∣ 許瑛祺醫師的部落格 ∣ 生活牙醫診所
台中牙齒矯正專科醫師+矯正碩士雙重認證,隱適美國際認證醫師,豐富成功案例經驗,專精各式齒顎矯正,為您設計完美無瑕的齒列!歡迎瀏覽更多矯正實際案例
網頁
選單
簡介
矯正實際案例
矯正系統介紹
矯正Q&A
諮詢留言
2015年12月16日 星期三
【PTT推薦台中牙齒矯正】牙亂(齒列不整) 矯正實際案例
【案例】
牙亂(齒列不整)(不拔牙矯正)
【矯正醫師】
台中牙齒矯正專科牙醫師 許瑛祺 醫師
(觀看醫師簡介)
【時間】
1年4個月
觀看更多【牙亂】矯正案例
2015年11月18日 星期三
【推薦台中牙齒矯正專科診所】非骨性開咬 矯正實際案例
【案例】
非骨性開咬(有拔牙)
【矯正醫師】
台中牙齒矯正專科牙醫師 許瑛祺 醫師
(觀看醫師簡介)
【時間】
2年4個月
觀看更多【開咬】矯正案例
2015年10月7日 星期三
【推薦台中牙齒矯正牙醫】阻生齒+暴牙(上齒列前突) 矯正實際案例
【案例】
阻生齒+暴牙(上齒列前突)(有拔牙)
【矯正醫師】
台中牙齒矯正專科牙醫師 許瑛祺 醫師
(觀看醫師簡介)
【時間】
2年4個月
觀看更多【阻生齒】矯正案例
觀看更多【暴牙】矯正案例
2015年8月19日 星期三
【PTT推薦台中牙齒矯正牙醫】錯咬+下齒列前突(地包天) 矯正實際案例
【案例】
錯咬+下齒列前突(地包天)
【矯正醫師】
台中牙齒矯正專科醫師 許瑛祺醫師
(觀看醫師簡介)
【時間】
2年5個月
觀看更多【錯咬】矯正案例
觀看更多【下齒列前突】矯正案例
2015年7月15日 星期三
【台中牙齒矯正專科診所】深咬+阻生齒 矯正實際案例
【案例】
深咬+ 阻生齒
【矯正醫師】
台中牙齒矯正專科牙醫師 許瑛祺醫師
(觀看醫師簡介)
【時間】
2年6個月
觀看更多【深咬】矯正案例
觀看更多【阻生齒】矯正案例
2015年5月13日 星期三
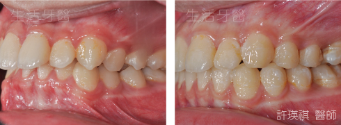
【台中牙齒矯正專科診所】錯咬+下顎前突(戽斗) 矯正實際案例
【案例】
錯咬 + 下顎前突(戽斗.地包天)(不拔牙)
【矯正醫師】
台中牙齒矯正專科牙醫師 許瑛祺 醫師
(觀看醫師簡介)
【時間】
2年2個月
齒顎矯正前的齒列看似整齊,但其實有錯咬以及下顎前突的問題;
經過矯正治療後,牙齒不但更整齊,咬合也更正確了。
觀看更多【錯咬】實際案例
觀看更多【戽斗】實際案例
2015年4月15日 星期三
【台中牙齒矯正專科診所】暴牙+牙亂(齒列不整) 實際案例
【案例】
暴牙 +牙亂(齒列不整)(有拔牙)
【矯正醫師】
台中矯正醫師 許瑛祺 醫師
(觀看醫師簡介)
【時間】
2年7個月
觀看更多【暴牙】矯正案例
觀看更多【牙亂】矯正案例
較新的文章
較舊的文章
首頁
訂閱:
意見 ( Atom )
^